所谓胆脂瘤,就是中耳里脱落的上皮的堆集,越聚越大,不断地向四周扩张,从而造成邻近的骨质破坏,向上,向内向后都是重要的血管和神经,一旦破坏到神经会造成面神经麻痹,向颅内扩张会形成脑脓肿等危及生命的并发症,所以,一经诊断是胆脂瘤性中耳炎,就必须手术治疗。西安中大耳鼻喉医院耳病诊疗中心的肖学和教授为我们解释胆脂瘤型中耳炎的症状。

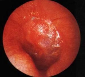
图为:胆脂瘤型中耳炎
胆脂瘤型中耳炎有哪些症状?
1.可长期流脓:早期也可能为间断性但一般为持续性脓液常有特殊恶臭味。
2.听力下降:可表现为不同程度的传导性聋其原因主要我们是鼓膜穿孔和听骨链损坏久之可因损害内耳导致混合性聋。
3.其他:可因胆脂瘤对周围结构破坏范围和程度的不同引起不同的并发症如耳鸣眩晕面瘫耳后脓肿和瘘管化脓性脑膜炎和脑脓肿乙状窦血栓形成等。
胆脂瘤型中耳炎的颅外并发症包括:耳周围脓肿及瘘管、颈部脓肿、迷路炎(眩晕)、颞骨脓肿、周围性面瘫、耳前鼓膜下脓肿、岩锥炎、以及远处脏器的脓肿,外耳道的湿疹和外耳道炎等。
严重的胆脂瘤型中耳炎需要通过“”提高或恢复胆脂瘤造成的传音结构功能障碍所致的听力损失。鼓室成型术是通过耳内窥镜清晰的视野,进行微创外科手术方法,手术医生娴熟的外科技巧和对设备、器械的把握和运用是鼓室成形术成功的关键。
温馨提醒:一旦患上胆脂瘤型中耳炎要时刻引起足够的重视,及时治疗。
祈祷
1人
难过
1人
担忧
1人
震惊
1人
有帮助
1人
不解
1人
层流手术室
听力治疗室
病房
化验科
输液大厅
医生诊室
候诊大厅在上面输入您的电话号码,点击“免费拨打”即可
关闭